忍者ブログ
仮面ライダー電王をこよなく愛する管理人と5歳になった生意気な息子と優柔不断なセキセイインコとツンデレのオカメインコとニューフェイスの赤ちゃんの日記です
[7] [8] [9] [10] [11] [12] [13]
×

[PR]上記の広告は3ヶ月以上新規記事投稿のないブログに表示されています。新しい記事を書く事で広告が消えます。

poster.jpg












最近、味覚がおかしいです
コーラを飲みたいとかシュワってするものが飲みたいとか言ってましたが
今はこれにはまっております
美味いんです・・・そして口がさわやか~に
でも・・・オロナミンCってちょっとしか入ってないから
飲み干すのすぐなんですよね

ぐびぐびっとは飲めないです・・・もったいなくって
ああ、貧乏人・・・・

そして、親子でスイッチ宣言をやってみたら
応援ツールとなるものが送られてきました
花は大喜びですが
http://www.switch-sengen.com/

チャレンジ・・・できるんでしょうかうちの息子は(汗
PR
P1050198.JPG










ビビです、こんばんわ
自分の名前をフルネームで連呼してますが・・・・
覚えたらとことん喋るんですね・・・・



さて、今日はお買い物に行ったんですが
さすがに今までのようにはいかず
歩いては休み歩いては休み・・・・
まあ、これが普通なんでしょうかねぇ
でも、周りの人にはわからないでしょうね
だってお腹だってまだ出てるわけでもないし
普通ですもん

でも、一番違うのは
体温ですね
花の時は11月にわかって6月の終わりに出産
夏の妊婦というのを経験しておりません
なので今・・・とてつもなく暑い
今日は涼しいよ~っていう日も
暑いのです!!
扇風機ずっとあびてないと暑い
一番辛いのは寝てる時
暑くって寝れない!
でも、パパも花も扇風機ずっとかけてると
風邪ひきそうだし・・・
もうね・・・・早く秋来てください><
P1050199.JPG












昨日の写真はあまりにも(?)酷かったので
ちゃんとした写真を
この方向の王冠が大好きです!


さて、明日・・・どうしようかと悩み中です
出血は止まったのだけど、花がお休み中おとなしくしているわけもなく
この間から
「ママが元気になったら、パパと花と森林公園へ行くんだ」
なんて言ってる
ああ・・・期待してますな

どうやって休みを過ごすんだろ・・・・
P1050197.JPG









これは・・・・写真を縮ませる時にきれたんじゃなくって
ビビが近づきすぎてこんな面白い?写真になりました
かなり笑えるんですけど・・・・

名前は覚えたけど、住所は覚えません
さすが鳥頭・・・ごめっ


さて、今・・・・
ママがはまってるものがあります
それはドラマ
それもあんまりテレビの見ないあたしが
最近の体調のせいで寝てるだけだとたいくつでテレビをつけたら
昼にやっていたドラマ・・・・ですが
知ってる人は知ってる?
朱蒙[チュモン]という韓国ドラマなのです
え?有名ですって
ええ、あたしは本当に最近知って
12話ぐらいから見始めました
そして面白くなってきて今ずっと見てるんですよねぇ
話が面白い!歴史ものとか好きな人ははまるかもしれませんねぇ
一応HPのっけておきますね
http://www.bsfuji.tv/jumong/



そして・・・後、欲しいものは
笑うかもしれませんが、ゲームなのです
それもDSを持ってるあたしには到底無理な代物なんですが
PSPで出るらしいですが
CCFF7といえばわかる人はわかる?
クライシスコア ファイナルファンタジーVII
どんな感じかはこちらのHPで
http://www.square-enix.co.jp/ccff7/

もうね、いい!
紹介の画像だけでもしびれちゃってます
欲しいけど・・・・誕生日まだだし・・・こんな高いの誰買うんだろ?


P1050196.JPG












バナナは遠足のおやつに入るんですかー?
と質問して
バナナは入りませんと言われた人
そのまま持っていって真っ黒に色がなった人!
これならそんな心配はありませんよ

バナナ・・・それもまもるくん・・・・
今遠足や運動会前にアイデア商品売れ筋らしいです

便乗して買ってるあたしって・・・・


さて、出血ですが、まだ少し出血中です
なかなか治らないもんなんですねぇ

前の時はすぐに止まったような気がしたんですが
やっぱり子供がいる分動いてしまうのが原因なような
後は、おケツに注射しなかったから?
ってことはないだろけど

安静しときますー><
P1050191.JPG













昨日はブログをお休みしてしまいましたが・・・・・

ええ・・・やってしまいましたよ

前の花の時にもやったんですが
出血・・・してしまいました
そして、急いで病院へ行ったら赤ちゃんは無事でした
でも出血が止まらず、今クスリを飲みながら安静状況なのです

花の時は大丈夫だろうと正月に大掃除をしまして・・・
しゃがんでトイレ掃除をせっせかと・・・
ええ、大バカ者です><

今回は日曜日に歩いたのが悪かったらしいです
そんなにいつもより歩いてないけど・・・・さすがに大きな公園ですからねぇ

甘く見ておりました
もう、安定期に入るまであまり歩くまい・・・
いつもと同じようにしてはダメなんですねぇ・・・
反省しました><

P1050161.JPG












今日は夏休み最後の日でしたねぇ
皆様はどうお過ごしでしたか?
ってか、子供がいないと夏休みって感覚ってないですよね


今日はグリーンセンターに遊びに行ったのですよ
もちろん、すごい急なすべり台から、アスレチック遊具から
SLまで走ってるという
花は大はしゃぎだったのですが
あたしはあまり歩きすぎたり立ってると
お腹痛くなってきて・・・・ほんとやばいので
結構座ってばっかりでした
その間パパがずっと花をつれて遊んでくれたので
助かりました~


ほんと、パパのありがたみがわかった1日だったわ~
これからもパパに花の面倒は(体動かして遊ぶのはね)
してもらわないといけないんですが
まあ、ママがこうなる前からパパは運動担当でしたけどね

がんばれ!パパっ!
P1020158.JPG












優柔不断の長男キッドです
そしてインドア派・・・・
ええ、小屋の外に出たがりません

でも、もう8年ぐらい生きてますねぇ
おじいちゃんですか!


さて、明日日曜日がすぎたら幼稚園だねぇ花
どうやって送り迎えをしようかと・・・・
そう、目と鼻の先ぐらい近いんですが
歩いて3分ぐらい?
ずっと自転車で送り迎えをしておりました
それが自転車なんて妊娠初期はとんでもないと

歩いていけばいいじゃんと思われるでしょ
だけど・・・・・歩いて行くと
泣いて
「だっこしてぇぇぇ」

そ、それは無理だろ!

って事になるんですよ


あさってから恐ろしいっ
どうしよう・・・・
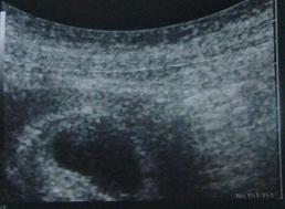
P1050139.JPG










今日は病院へ行ってきました
そして、やっと出会えましたねぇ
この前は見えなかった赤ちゃんが
この黒いのが子宮
そして下の方にちょろっと小さく白い点が赤ちゃんです
それも実際に見たときには
ぴょろり~んぴょろり~んと心臓が動いてました

ああ、生きてるんだな~って
当たり前だけど
へへっ、やっと実感わきましたよ


さて、先生がいうには、もうすでに3ヶ月目に入ったばっかりだそうで
えええええ
もう3ヶ月かい!
って感じですよね

さて、本格的につわりシーズン・・・・
どうしよう・・・・どうやって乗り切って行こうか・・・・
こえぇぇぇぇぇっ!!
de.JPG











ツンデレ息子のビビです
出たら・・・・・小屋の中に入りたくないって
逃げ回ります



さて、最近花の様子が一変してまして
なにかにつけて
ママとする~
ママと寝る~
ママと風呂はいる~
ママとご飯食べる~
ママがやって~
ママが好き~
お、これはよしにしよう
ママがいないと寂しいの
これも・・・まあ寂しいのならずっといてやるか
ママの事忘れないからね
え?一生の別れじゃないよね・・・
なんか不吉なんですけど
ママのエロい所が好きなの
えええええええ
ちょ、まて・・・エロいって?
「ママのおっぱいが」
ああ・・・・・そこがエロいってわけね・・・
ってか、そんな大きくないですが・・・・ってかどっちかというと小さいんですけど
そこがいいんですか・・・・

まったくすごい息子ですが

たしかに最近赤ちゃんかえりかな?って思うことがしばしば
べったりでして
今からかよ!とつっこみたくなりますが
まあ、これはこれで仕方ないな~って思ってます

赤ちゃん産まれたら・・・・どうなるんだろ・・・おそろしや~


忍者ブログ [PR]
カレンダー
02 2026/03 04
S M T W T F S
1 2 3 4 5 6 7
8 9 10 11 12 13 14
15 16 17 18 19 20 21
22 23 24 25 26 27 28
29 30 31
プロフィール

木蓮
管理人
二児の母になりました!
赤ちゃんのお世話の仕方
すっかり忘れてますが・・・(汗
母親初心者に逆戻りです(笑)


キッド
長男
この子供たちの中で一番最年長
優柔不断のインドア派
長男の威厳を保てるか!!


次男
甘えん坊でわがまま
でも人前ではいいかっこつけたい5歳児

ビビ
三男
最初は男の子だとおもっていて
病院で女の子と判明
その後、もう一度病院で見てもらって
男の子と判断される
最近発覚したツンデレ息子


四男
我が家のニューフェイス
花に圧倒されておとなしくビクビク過ごしている
ママと2人になると本領発揮?
カウンター
ランキング
にほんブログ村 子育てブログへ
にほんブログ村 子育てブログ 乳児育児へ
にほんブログ村 子育てブログ 幼稚園児育児へ
ブログランキング・にほんブログ村へ
おすすめの一品
最新コメント
[02/04 おちゃかん]
[12/22 ゆこたん]
[12/17 ココ]
[08/06 池田 晴子]
[07/25 木蓮]
最新トラックバック
ブログ内検索
バーコード